
绿豆娃娃(北京)科技有限公司
燕子。
备孕中
用心感受
孕10周+2天
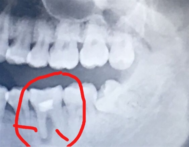
确实很恐怖,牙神经会拔掉
茗香茶庄🍃🍵
孕39周+6天
可以做的
我怪黑
孕37周+4天
听医生的吧
扫描二维码下载开心怀孕管家

03-29
5 人回复
03-30
3 人回复
04-03
1 人回复
03-29
0 人回复

4-6个月 人工喂养
7-12个月 婴儿护理
备孕备孕攻略
孕5周+3天
0-3个月 母乳喂养
育儿 宝宝出生241天
备孕 遗传优生
拉钩上吊一百年不许变し
2019-04-07
4842 人回复
小甜甜
2019-08-24
2964 人回复
肥c~
2019-09-15
2954 人回复
可乐双胞胎兄弟
2018-06-01
2736 人回复