
绿豆娃娃(北京)科技有限公司
🌻 芈蕊女装
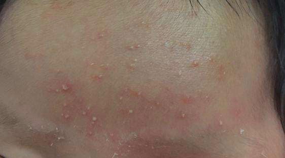
宝宝1个月2天
HYGJ73Tj
孕14周+0天
湿疹,不要穿太多
安之若素
宝宝4个月21天
湿疹
好运妈妈
孕36周+1天
捂的,湿疹,不要给他穿太厚,一定要记得宁冻勿热。
回忆总是哭
备孕中
湿疹
MAKITOMA
宝宝1个月2天
湿疹,我也涂了很久药膏才慢慢好些,但还是有,直到孩子住进新生儿科了医生每天给他涂药才好了,但不知道涂的什么药
🌻 芈蕊女装[帖主]:涂啥了
MAKITOMA:涂了京儿湿疹膏和炉甘石
MAKITOMA:京儿肤乐霜
阿芳
孕37周+3天
别捂太多
姐姐
备孕中
湿疹吗
扫描二维码下载开心怀孕管家

05-14
3 人回复
05-17
3 人回复
05-15
2 人回复
05-19
2 人回复
05-14
1 人回复
05-15
1 人回复

4-6个月 婴儿疾病
备孕 不孕不育
3-6岁 补充维生素
0-3个月 新生儿疾病
0-3个月 母乳喂养
7-12个月 婴儿疾病
宝宝1岁10个月7天
拉钩上吊一百年不许变し
2019-04-07
4842 人回复
小甜甜
2019-08-24
2964 人回复
肥c~
2019-09-15
2954 人回复
可乐双胞胎兄弟
2018-06-01
2736 人回复